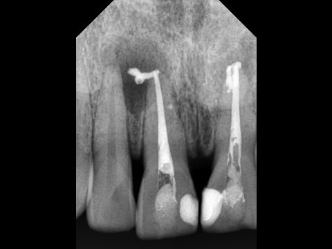
Зачем перелечивать зубы?

По сотрудничеству dr.kolesnikov48@gmail.com Мой Instagram   / dr_kolesnikov   Telegram-канал
Для помощи каналу https://www.donationalerts.com/r/dima...
как часто вы приходили к врачу за протезированием зубов, а он говорил, что необходимо зубы перелечить? Вы думаете это развод? В этом видео я хочу вам рассказать для чего необходимо перелечивать зубы перед постановкой коронок и протезирования зубов

Смотрите также