Сайт использует сервис веб-аналитики Яндекс Метрика с помощью технологии «cookie». Пользуясь сайтом, вы даете согласие на использование данной технологии.
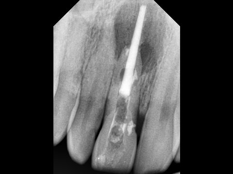
При выходе пломбировочных материалов за верхушку неудачный исход приписывается избыточному материалу. На самом деле, если гуттаперча или обтуратор Термафила вышел за верхушку, значит герметизация апекса неполноценная. Использование конусной гуттаперчи в конусном канале позволит качественно и надёжно запечатывать апикальную часть канала.