Сайт использует сервис веб-аналитики Яндекс Метрика с помощью технологии «cookie». Пользуясь сайтом, вы даете согласие на использование данной технологии.
Политика конфиденциальности | Согласие на обработку персональных данных
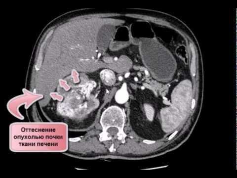
КТ брюшной полости (опухоль почки и тромбоз полой вены)
УЗИ почек. Часть 3. Оценка толщины и эхогенности паренхимы
КИСТА ПОЧКИ: когда оперировать НЕ НАДО! - урологический ликбез от хирурга Александра Стаховского
Что делать, если по УЗИ нашли кисту почки?