Сайт использует сервис веб-аналитики Яндекс Метрика с помощью технологии «cookie». Пользуясь сайтом, вы даете согласие на использование данной технологии.
Политика конфиденциальности | Согласие на обработку персональных данных
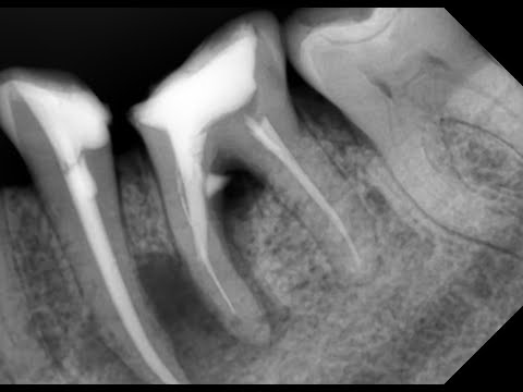
Разбор клинического случая: Перелечивание
Редкий случай
Кому нельзя ставить импланты? Стоматологи молчат об этом
Морфология передних и боковых зубов
Периодонтит - вторичная эндодонтия и деструкция в бифуркации - перелечивание корневых каналов зуба
Разбор клинического случая от лекторов учебного центра Авиценна
Вы просыпаетесь в 3 часа ночи? Вашему телу нужна помощь! Почему об этом не говорят?
Лечение перфорации в области фуркации корня. Лечение периодонтита. Курсы по стоматологии
3 Средства для ПОДАВЛЕНИЯ ГОЛОДА! Даже вечерний голод уйдет