Сайт использует сервис веб-аналитики Яндекс Метрика с помощью технологии «cookie». Пользуясь сайтом, вы даете согласие на использование данной технологии.
Политика конфиденциальности | Согласие на обработку персональных данных
Чет элдиктердин акчасын алып, документин кезексиз бүткөрүшкөн. ЦОНдун кызматкери кармалды
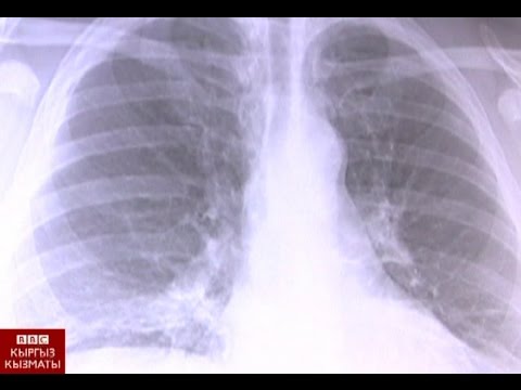
Личная история врача переболевшего туберкулезом
Коңшусу "атып салам" деп ок чыгарып, коркуткан. Куралчан кишини спецназ кармады. Ашууларда кар жаады
Кургак учуктун оор формалары өсүүдө - BBC Kyrgyz