Сайт использует сервис веб-аналитики Яндекс Метрика с помощью технологии «cookie». Пользуясь сайтом, вы даете согласие на использование данной технологии.
Политика конфиденциальности | Согласие на обработку персональных данных
Ипатов В.В.«КТ в неотложной диагностике горнолыжной травмы»
Профессор Янишевский С.Н.: Ишемический инсульт и транзиторная ишемическая атака (ТИА)
5 Тихих Признаков, Которые Пожилые Люди Проявляют Перед Сердечным Приступом
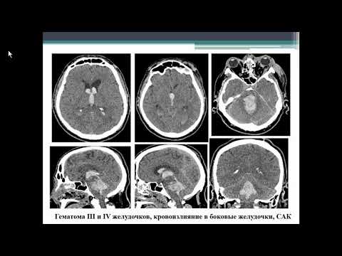
Часть 1. Компьютерная томография при травме головы. Андрей Мангов
КТ/МРТ визуализация головного мозга. Краткий Экскурс.
Дроздов А.А. Ишемические инсульты и КТ диагностика. Роль рентгенолога и состояние проблемы
Что НЕЛЬЗЯ делать при АТЕРОСКЛЕРОЗЕ? Почему сосуды СТАРЕЮТ раньше ВАС!?
Ирина Трофименко. Дифференциальная диагностика ишемического инфаркта
Врач-рентгенолог Пекшева М.С.: Ишемический инсульт: оценка тяжести поражения по данным КТ
«МРТ в диагностике острых нарушений мозгового кровообращения по ишемическому типу»