Сайт использует сервис веб-аналитики Яндекс Метрика с помощью технологии «cookie». Пользуясь сайтом, вы даете согласие на использование данной технологии.
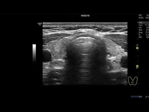
Клинический случай 8. (УЗИ Щитовидной Железы ) доктор А.В. Ушаков
УЗИ диффузного процесса щитовидной железы с зобом 3 ст. УЗ-признаки тотального диффузного зоба щитовидной железы до 3 ст., с малыми явлениями мелко-долькового деструктивного преобразования, малой лимфоцитарной инфильтрацией и умеренным отёком стромы. Напряжение ткани железы (по интенсивности и скорости кровотока) в значительной степени усилено. Ткань железы, выглядящая относительно полноценной гормонообразующей (при этом с изменениями), составляет около до 90%.